How Smoking Affects Your Mouth and Oral Health
Reader-supported. We may earn a commission from links on this page. Advertising disclosure.
In this article
Quitting smoking reduces the risk of many health problems and adds as much as a decade to a person’s life expectancy. People who smoke are at increased risk of developing gum disease and other oral health problems, including tooth loss and mouth cancer.
This article explains how tobacco use affects the mouth’s teeth, gums, and soft tissues. It also provides tips on how smokers can improve their oral health before and after they quit smoking.
Smoking and Oral Cancer Risk
Tobacco users have an increased risk for oral cancer and many other types of cancer. Different tobacco products are associated with specific cancer risks:
Cigarettes
Regular cigarettes are the most commonly used form of tobacco. They contain more than 60 cancer-causing substances. Cigarette smokers are 10 times more likely to develop oral cancer than non-smokers.
Pipes and Cigars
It’s a common misunderstanding that tobacco smoke is less harmful if it isn’t inhaled. Pipe and cigar smoke are risk factors for mouth, throat, esophagus, and lung cancers.
Chewing Tobacco
Even smokeless tobacco products like chewing tobacco and snuff are major health risks. Chewing tobacco increases the risk of oral cancer in the cheeks, lips, and gums.
Can You Save Your Gums from Smoking?
If you smoke, quitting is the best way to improve your oral health. It’ll greatly reduce your risk for gum disease, oral cancer, and other health problems like heart and lung disease.
It’s never too late to quit. The longer you smoke, the higher your risk for gum disease. Even cutting back on the number of cigarettes you smoke can lower your risk.
Additionally, treatments for gum disease are more likely to work if you quit smoking.
Oral Hygiene Tips for Smokers
Smoking increases the amount of bad bacteria in your mouth, which is one reason oral hygiene is crucial. An oral care routine for smokers should include:
- Brushing your teeth at least twice a day
- Using string floss or a water flosser to clean between teeth at least once a day
- Cleaning your tongue with a tongue scraper
- Rinsing with an antimicrobial mouthwash
- Visiting your dentist regularly for professional cleanings
Call your dentist immediately if you notice anything irregular, such as increased tooth sensitivity. Don’t wait until your next routine exam.
What Does a Smoker’s Mouth Look Like?
Cigarette smokers, pipe smokers, and people who use smokeless tobacco products are more likely to develop oral health issues.
Some oral effects of smoking include:
- Tooth decay
- Gum recession
- Bad breath (halitosis)
- Stained teeth and gums
- Bone loss in the jaw
- Discolored overgrowth of tongue papillae (black hairy tongue)
- Reduced success rate of dental implants
- Increased buildup of tartar and dental plaque
- Inflamed salivary glands on the roof of the mouth
- Higher risk of periodontal disease (gum disease) and tooth loss
- Slow healing after periodontal treatment, tooth extraction, or other dental work
- Greater risk of oral cancer
How Does Smoking Affect Gums?
Smoking is the most significant risk factor for gum disease. Gum disease results in the loss of bone and soft tissue, which serve as connection points for your teeth. Therefore, gum disease is a leading cause of lost teeth in adults.
People who smoke are not only at greater risk of developing gum disease, their symptoms are more severe than non-smokers. Additionally, smoking lowers the success rate of treating periodontal disease.
Smoking reduces blood flow to the oral tissues. This interferes with wound healing and increases the risk of gum infections after treatment.
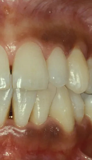
What are Smoker’s Gums?
Smoker’s melanosis is the darkening of the gums, lips, and soft palate of the mouth due to smoking. It affects about 5% to 22% of cigarette and pipe smokers.
This benign (noncancerous) condition most often affects the gum tissue around the upper and lower front teeth. The more a person smokes the darker the discoloration.
Smoker’s melanosis has no treatment. However, the gums usually return to their normal color within 6 to 36 months after people with this condition quit smoking.

Image source: Wikipedia Commons

Healthy Gums vs. Smoker’s Gums

Healthy gums are firm and pink in color. Any redness, swelling, or bleeding may be warning signs of gum disease. These signs can be masked in a smoker’s gums.
Even though smokers’ gums aren’t healthy, they’re less likely to show redness and bleeding. This is because the nicotine in tobacco reduces circulation to the tiny blood vessels in the gums.
What are the Signs of Gum Disease from Smoking?
Smokers have twice the risk of developing gum disease compared to non-smokers. Signs and symptoms of gum disease include:
- Gum redness or swelling
- Bleeding gums
- Gums that have pulled away from the teeth (receded)
- Painful chewing
- Sensitive teeth
- Loose teeth
- Persistent bad breath
How Is Gum Disease Treated?
Early periodontal disease (gingivitis) may be treatable with regular cleanings at your dentist’s office and good oral hygiene at home. This includes brushing your teeth for at least two minutes daily and flossing.
Treatment for more advanced periodontal disease (periodontitis) may require:
- Deep cleaning below the gum line
- Prescription medicine or mouth rinse
- Surgery to remove tartar
- Laser treatment
- Bone graft surgery
Your likelihood of healing properly after periodontal treatment will improve dramatically if you quit smoking.
Can Gum Health Improve After Quitting Smoking?
That depends on the extent of gum disease when you quit smoking. If caught early, your gum health will likely improve after quitting. However, this isn’t necessarily the case if you’ve experienced significant bone and/ or tissue loss.
Talk to your dentist about the gum health improvement you can expect after quitting smoking.
Will Gums Lighten If You Stop Smoking?
Gum tissue darkened due to smoker’s melanosis will return to its usual color within 6 to 36 months after you stop smoking.
Summary
Smoking causes various dental problems, including an increased risk for gum disease. Smoking also reduces the success rate of dental treatments due to slow healing.
People who smoke may not notice the signs of gum disease because smoker’s gums are less likely to turn red and swell. This is due to poor circulation. Other gum disease symptoms include painful chewing, loose teeth, and increased tooth sensitivity.
Cigarettes and other tobacco products increase the risk of oral cancers. Quitting dramatically reduces your risk for oral diseases and other health problems.
How Smoking Affects Your Mouth And Oral Health
NewMouth PodcastSources
- “Smoking Cessation: A Report of the Surgeon General — Key Findings.” U.S. Department of Health and Human Services, 2020.
- “Tips From Former Smokers®: Gum (Periodontal) Disease.” Centers for Disease Control and Prevention, 2022.
- “Periodontal (Gum) Disease.” National Institute of Dental and Craniofacial Research, 2023.
- “Oral Cancer and Tobacco.” Johns Hopkins Medicine.
- “Oral Changes Associated with Tobacco Use.” The American Academy of Oral Medicine, 2008.
- Taghizadeh et al. “Smokers melanosis: A case report.” Tobacco Induced Diseases, 2018.
- Borojevic, T. “Smoking and Periodontal Disease.” Materia Sociomedica, Journal of the Academy of Medical Science of Bosnia and Herzegovina, 2012.
UCLA-trained dentist practicing in public health. Focuses on whole-body approach to dental care.
Related Articles

Fissured Tongue
A fissured tongue is a condition that causes deep grooves or furrows on the surface of the tongue. Learn more about fiss...

Cobblestone Throat: Causes, Symptoms, and Treatment
Cobblestone throat causes raised, bumpy tissue on the back of the throat, usually from postnasal drip, infection, allerg...

Can Cavities Go Away on Their Own?
A cavity that has formed a hole in your tooth won't go away. Once a cavity wears through your tooth's enamel, you must s...

Inflamed Taste Buds - Causes, Symptoms & Treatments
Swollen and Inflamed Taste Buds A healthy tongue is covered in taste buds. Each taste bud contains 50 to 100 sensory cel...