What is Eagle Syndrome?
Reader-supported. We may earn a commission from links on this page. Advertising disclosure.
In this article
What is Eagle Syndrome?
Eagle syndrome (or styloid syndrome) is a rare condition that can cause sharp jaw and neck pain, often on one side. The pain may be brought on by moving the neck or jaw or swallowing.
This condition remains poorly understood, but it involves a bone abnormality that can interfere with nerves in the neck and jaw (see below).
Medical Definition of Eagle Syndrome
To understand Eagle syndrome, it’s important to define some terms regarding the anatomy of your neck and jaw:
- Styloid process — A thin piece of bone that juts out just under your ear. It’s an important anchor point for many muscles and ligaments in your throat and jaw.
- Hyoid bone — The bone that sits below your jaw and above your Adam’s apple. Held in place by multiple muscles, it’s the only bone in your body that isn’t in direct contact with any other bone.
- Stylohyoid ligament (SHL) — The ligament connecting the above two bones.
Eagle syndrome develops when the styloid process is elongated, the SHL is calcified (hardened), or both.

Image Source: Wikipedia
When this happens, turning your head, moving your jaw, or swallowing can become difficult without affecting certain nerves (and sometimes blood vessels) in your neck and jaw.
Why is It Called Eagle Syndrome?
Eagle syndrome (or Eagle’s syndrome) is named for the physician who first described it. Watt Weems Eagle, an ear, nose, and throat (ENT) surgeon at Duke University, described the condition in 1937.1
However, symptoms consistent with Eagle syndrome were reported as early as the 17th century.
Identifying Symptoms of Eagle Syndrome
Symptoms typically associated with Eagle syndrome include:
- Throat, jaw, or ear pain, which may be triggered by neck or jaw movement or swallowing
- The feeling of a foreign object in the throat (foreign body sensation)
- Difficulty swallowing
- Excessive salivation
These symptoms are generally the result of nerve compression or irritation from the long styloid process or hardened SHL. They can affect only one side of the head, neck, or both.
Atypical Symptoms
Some cases of Eagle syndrome involve significant pressure on the cranial nerves and blood vessels of the head and neck.
Some less common symptoms, especially when blood vessels are involved, include:
- Persistent headache or pain in the nape of the neck
- High blood pressure within the skull
- Facial pain, which may be on one side of the face
- Jaw or neck swelling
- Unusual sensations in the head and neck
These symptoms can indicate potential complications, such as cerebral hemorrhage or stroke. Severe cases of Eagle syndrome can involve pressure on the jugular vein and/or carotid artery, which are vital for sending blood to and from the brain.
What Causes Eagle Syndrome?
Eagle syndrome is a result of underlying bone and ligament issues. The causes of these issues aren’t fully understood, but some potential risk factors have been identified.
Understanding the Styloid Process
The styloid process is a slender process (an outgrowth of bone) that juts down and forward from the temporal bone of your skull. You have two temporal styloid processes, one under each ear.
These processes are usually between 2 and 4 centimeters long and may be straight or curved. Several important muscles and ligaments attach to them, allowing you to chew, swallow, and move your neck and jaw.
When the styloid process is especially long, it can cause the pain associated with Eagle syndrome. However, only about 4% of people with an elongated styloid process show symptoms of Eagle syndrome.
Risk Factors for Eagle Syndrome
While there is no one clear cause of Eagle syndrome, a few possible risk factors have been discussed by doctors and medical researchers:
- Tonsillectomy — Soft tissue damage after tonsil removal could cause bone formation, leading the styloid process to grow. Eagle proposed this as a cause, but most people with Eagle syndrome still have tonsils.
- Chronic tonsillitis — Chronic inflammation could affect the styloid process or SHL.
- Trauma — Many people with Eagle syndrome have a jaw or neck injury in their medical history. This trauma could have made the SHL harden, and the styloid process lengthen.
- Genetic factors — Some people may be predisposed to having a longer styloid process, contributing to the risk for Eagle syndrome. However, there doesn’t seem to be a relationship between styloid length and severity of pain.
These are all potential causes of Eagle syndrome, and even more factors may be involved. Researchers generally agree that more work is needed to establish how Eagle syndrome arises and how it might be prevented.
How is Eagle Syndrome Diagnosed?
Eagle syndrome is diagnosed through physical examination, observation of symptoms, and medical imaging.
Accurate diagnosis is crucial for getting effective treatment. Because the symptoms sometimes resemble other conditions, people with Eagle syndrome may go from doctor to doctor without properly addressing their condition.
Clinical Evaluation
An ear, nose, and throat doctor can arrive at a diagnosis by evaluating your symptoms and performing a physical examination.
When Eagle syndrome is suspected, one common test is to palpate (touch) the area of your tonsils. This frequently triggers pain and tenderness in people with Eagle syndrome because it allows the elongated styloid process to be felt.
Your doctor may also administer local anesthesia to your tonsils to see whether this provides relief. This gives your doctor more information about your symptoms and your potential response to treatment.
Your doctor will also want to know your medical history. Any known medical conditions, surgeries you’ve undergone, or previous injuries will provide additional clues.
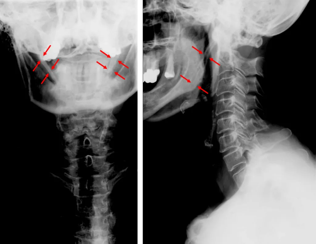
Imaging and Scans
Your doctor will also order imaging tests to get a picture of the bones and ligaments involved in Eagle syndrome. This includes X-rays, CT scans, and possibly ultrasound.
These scans will allow your doctor to take note of the length of your styloid process and other signs of Eagle syndrome.
Sometimes, an elongated styloid process is found incidentally during the evaluation of a panoramic X-ray at your dentist’s office.
Treatment Options for Eagle Syndrome
Eagle syndrome is most effectively treated with surgery, but more conservative measures can also help. These less invasive methods may be used alongside surgery to provide complete relief.
Conservative Treatment Approaches
Conservative methods of treatment are generally the first resort and may consist of:
- Local injections — Anti-inflammatory steroids or long-lasting anesthetics may be used
- Oral steroids — Like locally injected steroids, these can help reduce inflammation
- NSAIDs — Non-steroid pain medications such as Tylenol
- Other drugs — These include anticonvulsant and antidepressant medications
- Physical therapy — Guiding, training, stretching, or relaxing the neck and jaw muscles can help relieve pain
Surgical Interventions
If conservative approaches don’t provide relief, the next step is usually surgery. The styloid process is amputated or reduced, and the stylohyoid ligament may also be resected (cut down).
Doctors can perform this surgery by going through the mouth, behind the tonsils, or through an incision in the neck, behind the jaw. You’ll be put under general anesthesia.
Which Treatment Method is Better?
Both methods have advantages. Going through the mouth won’t leave a visible scar and takes less time, but going through the neck allows for a better view of the area being operated on.
Whichever method is used, doctors have to take great care to avoid causing damage to nerves and blood vessels. You may need to take pain medication for a few days following surgery.
Clinical Studies and Further Research
More research is still needed to better understand Eagle syndrome and its causes. For example, it isn’t entirely clear why some people with long styloid processes don’t suffer any pain while others do.
The Importance of Clinical Studies
Much of what we currently know has been provided by case studies of individual people who have been treated for Eagle syndrome.
Dr. Eagle initially believed the condition resulted from soft tissue damage during tonsil removal surgery. But over time, many Eagle syndrome patients with no history of tonsil removal have been evaluated.
However, Eagle syndrome patients often have a previous neck or jaw injury in their medical history. This has given doctors more information about how the elongated SP or hardened SHL may have come about.
Participating in Research
If you’ve been diagnosed with Eagle syndrome, the details of your case may help future patients. Talk to your doctor about their involvement with any medical journals, or consider contacting one of the doctors cited in our list of sources listed below.
Summary
Eagle syndrome is a condition involving an elongated styloid process, the piece of bone that juts out under your ear. The long bony protrusion can cause moderate to severe pain due to nerve irritation, and in some cases, it can affect blood flow to your head and neck.
This condition remains poorly understood, but early diagnosis and treatment can lead to complete relief.
Talk to your doctor if you notice sharp or radiating pain when swallowing, chewing, or turning your head from side to side. If you suspect Eagle syndrome, tell your doctor and consider making an appointment with an ENT.
What is Eagle Syndrome?
NewMouth PodcastSources
- Thoenissen et al. "Eagle’s syndrome—A non-perceived differential diagnosis of temporomandibular disorder." International Journal of Surgery Case Reports, 2015.
- Boucher et al. "Chronic oropharyngeal pain and medical nomadism in an Eagle’s syndrome patient: a case report." Journal of Medical Case Reports, 2022.
- Badhey et al. "Eagle syndrome: A comprehensive review." Clinical Neurology and Neurosurgery, 2017.
- Sridevi et al. "Evaluation of Styloid Process and Its Anatomical Variations: A Digital Panoramic Study with Systematic Review." Journal of International Society of Preventive & Community Dentistry, 2019.
- Swanson et al. "Eagle Syndrome: Pathophysiology, Differential Diagnosis and Treatment Options." Health Psychology Research, 2023.
- Saccomanno et al. "Eagle’s Syndrome, from clinical presentation to diagnosis and surgical treatment: a case report." Acta Otorhinolaryngologica Italica, 2018.
- Saccomanno et al. "Traumatic Events and Eagle Syndrome: Is There Any Correlation? A Systematic Review." Healthcare, 2021.
- Raina et al. "Eagle syndrome." Indian Journal of Radiology and Imaging, 2009.
UCLA-trained dentist practicing in public health. Focuses on whole-body approach to dental care.
Related Articles

Dental Calculus Causes & Treatment
This article will discuss dental calculus buildup, its effects on teeth and gums, how to prevent its development, and ho...

What Is Phossy Jaw
Key Takeaways Phosphorus necrosis, or phossy jaw, was an occupational disease suffered by workers in match factories bet...

TMJ Surgery: Types, Costs, What to Expect, Procedure, and Recovery
Temporomandibular joint disorder (TMD) is a condition that affects the jaw joint. This article discusses the different t...

Mandible (Lower Jaw): Anatomy, Function, and Problems
The mandible is the lower jaw bone that holds your bottom teeth and helps you chew and speak. Learn its anatomy, major p...