Veneers Before and After
Reader-supported. We may earn a commission from links on this page. Advertising disclosure.
In this article
Veneers are a popular cosmetic dental procedure that can dramatically improve the appearance of your smile. Different kinds of veneers will create different results.
Here are some of the most common types of veneers and what you can expect before and after the procedure:
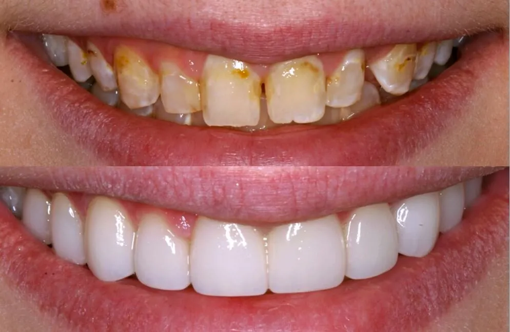
Porcelain Veneers: Before and After Pictures

Image source: Advanced Dental Services

Image source: Bishopsgate Dental Care
Porcelain veneers are custom-made, thin shells. They improve your smile by changing the shape, color, and overall look of your teeth.
These veneers are strong and long-lasting. They’re also stain-resistant and offer a natural look.
Many people choose porcelain veneers instead of dental bonding or teeth whitening because the results last longer.

Image source: Bishopsgate Dental Care
Pros
- Blends in with natural teeth
- Stain-resistant
- Strong and durable
- Small chance of fracture, chipping, or breakage
- Smooth, tooth-like texture
- Doesn’t harm gums or surrounding teeth
- Little plaque build-up with good dental care
- Lasts approximately 8 to 15 years
Cons
- Expensive compared to other veneers
- Lengthy and invasive procedure
Costs
Porcelain veneers are pricier and cost $925 to $2,500 per tooth.
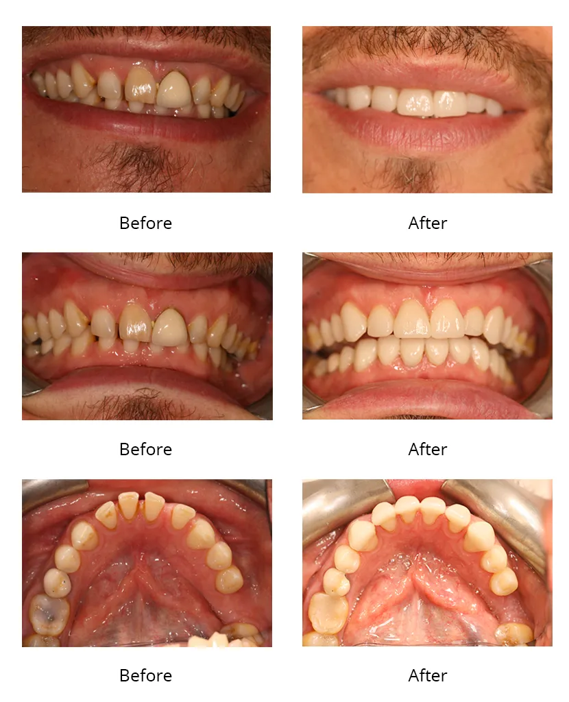
Composite Veneers: Before and After Pictures

Image source: Malouf Dental

Image source: Pro Dental Clinic
Composite veneers are made of composite resin. Composite resin is a blend of inorganic and organic materials.
Filler is the primary inorganic material in composite resin. Natural materials in composite resin include the:
- Initiator
- Resin
- Coupling agent
Composite veneers are strong, but they aren’t as durable as porcelain. They’re also less expensive than porcelain veneers.
While they blend in well with your natural tooth color, composite veneers are prone to stains over time and don’t last as long.

Image source: Brunswick East Dental
Pros
- Strong and durable
- Less-invasive procedure than porcelain veneers (less enamel removal)
- Natural look
- Low chance of harming your gum tissue
- Less expensive than porcelain veneers
- Easily repaired if chipped or broken
- Only needs a single visit
- No temporary restorations are required
- Last between 5 and 7 years
Cons
- Weaker than porcelain veneers
- Prone to stains over time
- Don’t last as long as porcelain veneers
- Lengthy procedure
Costs
Composite veneers are less expensive than porcelain and cost $250 to $1,500 per tooth.
Lumineers: Before and After Pictures

Image source: Aesthetic Dental Zone


Image source: Gums & Smiles Family Dental
Lumineers are a brand of veneers created by DenMat dental laboratory. They’re known as “no-prep” veneers.
These veneers are thinner and less expensive than traditional veneers. They take less time to apply and can easily be removed or replaced.
Lumineers are made of cerinate® feldspathic pressable porcelain. This type of porcelain is around 0.3mm thin and is very strong. It’s about the same thinness as a contact lens.
These types of veneers require little to no tooth enamel reduction. They can last 10 to 20 years or longer with proper care.
Pros
- Reversible
- Doesn’t require tooth removal before application
- Slightly less expensive than porcelain veneers
Cons
- Doesn’t last as long as traditional veneers
- Less natural-looking than traditional veneers
- More prone to fracture and damage
Costs
Lumineers are slightly less expensive than porcelain veneers and cost $800 to $2,000 per tooth.
Removable Veneers

Image source: Jennifer Savin, Cosmopolitan.com
Removable veneers or snap-on veneers are a type of dental prosthetic. This option is made from resin and acts as a mask over your natural teeth.
Removable veneers are an affordable way to improve the appearance of your smile. They’re also reversible, so you can take them off when you want to.
Pros
- More affordable than other types of veneers
- Reversible
- No tooth shaving required
- Easy to clean and maintain
Cons
- Less durable than porcelain or composite veneers
- May slip off or become loose over time
- Not as natural-looking as other types of veneers
Costs
Removable veneers cost $600 to $1,000, depending on the manufacturer.

What are Veneers?
Veneers are thin, tooth-colored shells. They’re attached to the front surfaces of teeth to improve their appearance. Dentists most frequently place veneers over the top eight teeth in the front.
The shells are permanently bonded to your teeth. They’re typically made of porcelain or resin composite materials.
Veneers treat various cosmetic concerns, including teeth that are:
- Chipped
- Broken
- Discolored
- Smaller than average
Some people opt for one veneer if they have a chipped tooth. Others get between six and eight veneers for an even, symmetrical smile.
Choosing the Right Type of Veneer
Dental veneers aren’t a one-size-fits-all solution. The shape and shade that looks best for one person might not look right on another.
Your dentist will help you choose the right veneers for you. Knowing how you want your veneers to look before your appointment is essential.
Others may need orthodontics like Invisalign before getting veneers. This is to ensure their teeth are aligned and in the proper positions.
Choosing Your Shade
Many different veneer shade options are available. You’ll want to choose a shade that looks bright and healthy. Steer clear of choosing a too-white shade. If you do, your smile might look unnatural.
Try using the whites of your eyes for guidance. Your veneers should never be brighter than your eyes.
People with fair skin tones should choose from the whitest colors available. People with dark skin tones should opt for naturally-occurring shades and avoid extremely bleached shades, as these often look unnatural.
Choosing the Right Shape
Once you’ve found the right shade for your veneers, you’ll need to choose the right shape.
Consider your face shape when choosing veneers. Long, thin veneers slim a round face. Short, wide veneers compliment a long face.
Age is a factor to consider, too. Teeth naturally lose length over time, so longer veneers can help you look younger.
Plus, bulking up your teeth can smooth fine lines and wrinkles around the mouth. Thicker front veneers also give the appearance of fuller lips.
Other factors to consider when choosing veneers include:
- Cost
- Durability
- Material
- How natural they look
Summary
Veneers are a great way to improve the appearance of your smile. They can fix chipped, broken, discolored, and small teeth.
Several types of veneers are available. Learning about how your teeth will look after getting veneers can improve your satisfaction with the results.
Sources
- Alothman, Y, and Bamasoud, MS. “The Success of Dental Veneers According To Preparation Design and Material Type.” Open access Macedonian journal of medical sciences, 2018.
- Pini NP, Aguiar FH, Lima DA, Lovadino JR, Terada RS, Pascotto RC. “Minimally invasive veneers: current state of the art.” Clinical, cosmetic and investigational dentistry, 2014.
- Peumans, M, et al. “Porcelain veneers: a review of the literature.” Journal of dentistry, 2000.
- El-Mowafy, O, et al. “Porcelain veneers: An update.” Dental and medical problems, 2018.
- Pini, NP, et al. “Advances in dental veneers: materials, applications, and techniques.” Clinical, cosmetic and investigational dentistry, 2012.
- Zhang, R, et al. “Analysis of the effects of prepared porcelain veneers and unprepared porcelain veneers on gingival crevicular flora based on high-throughput sequencing.” Experimental and therapeutic medicine, 2021.
- Fahl, N, Jr, & Ritter, AV. “Composite veneers: The direct-indirect technique revisited.” Journal of esthetic and restorative dentistry: official publication of the American Academy of Esthetic Dentistry, 2020.
Licensed dental specialist focusing on personalized dental content writing and blogging.
Related Articles

7 Best Snap-On Veneers (2026)
Snap-on veneers are an affordable and convenient way to achieve a perfect smile. We give you seven of the best snap-on v...

Composite Veneers: Costs, Procedure, Pros, and Cons
Key Takeaways Composite veneers are shell-like dental restorations that fit over your teeth. They're ideal solutions for...

What to Know Before Getting Porcelain Veneers
Want to know what porcelain veneers are, the steps of the procedure, and the benefits? This article has you covered. Plu...

The 4 Different Types of Dental Veneers
Wondering what type of veneers is right for you? Our guide will help you explore the different types of veneers and deci...