Eruption Cyst Symptoms, Causes & Treatment
Reader-supported. We may earn a commission from links on this page. Advertising disclosure.
In this article
What is an Eruption Cyst?
An eruption cyst (or eruption hematoma) is a small, fluid-filled sac that can form on the gums while a tooth erupts. Eruption cysts are most common in young children but can occur in infants or adults.
Eruption cysts typically appear as a small, rounded swelling on the gums. They tend to have a translucent bluish color.
These cysts may be tender to the touch and cause discomfort or pain. But they are generally benign and don’t cause long-term harm.
A pediatric dentist can perform a simple procedure to drain the cyst if necessary. However, they usually burst on their own and aren’t a cause for major concern.
Symptoms of an Eruption Cyst
Eruption cysts can be unsightly and may be uncomfortable. Fortunately, most eruption cysts will rupture without causing any pain.
Aside from the visible cyst, there may be no other symptoms. You or your child might feel pain or discomfort, especially when chewing, but the cyst may cause no pain.
What Causes an Eruption Cyst?
An eruption cyst results from an accumulation of fluid (sometimes mixed with blood) around an erupting tooth. The cyst typically becomes visible about four days before the tooth eruption. Once the tooth emerges, the cyst will likely burst on its own.
The cause of an eruption cyst is not always clear, and it may seem to appear out of nowhere. They may be more common in children with other dental problems or those with a family history of eruption cysts.
Eruption cysts are most commonly associated with permanent teeth in young children. Lower molars are the most likely teeth to be affected.
However, eruption cysts can also sometimes develop in:
- Teething babies whose primary teeth are first coming in
- Adolescents with emerging wisdom teeth (third molars)
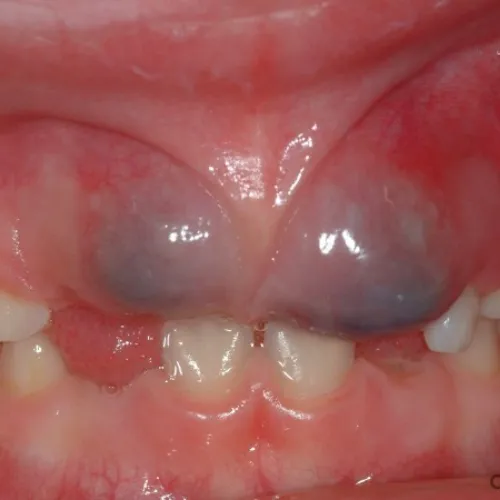
What Does an Eruption Cyst Look Like?
An eruption cyst is typically bluish-purple. It might appear reddish-brown if the fluid in the sac mixes with blood.
It’s typically a translucent dome of soft tissue that overlays an erupting tooth. It may also appear as a lesion or bruise.

Medical Image of an Eruption Cyst



Eruption Cyst Treatment
Eruption cysts should usually be left alone, as they usually burst on their own and don’t cause further problems. They may last a few days or weeks.
However, sometimes the cyst doesn’t go away as expected. If it doesn’t naturally disappear within a few weeks, a simple surgical incision may be necessary to drain the cyst.
While this may sound scary, it’s a common procedure usually done under local anesthesia and doesn’t require any downtime.
The dentist may also prescribe medication to treat any possible infections in the eruption cyst.
Eruption Cysts vs. Other Oral Cysts
Eruption cysts are a type of dentigerous cyst—a cyst caused by tooth development. They shouldn’t be confused with oral mucous cysts, which are caused by lip biting or sucking.
These are similar to canker sores but typically don’t cause any pain. Like eruption cysts, they’re likely to go away on their own.
You should monitor your child’s mouth for unusual symptoms or pain. Talk to your pediatric dentist about your concerns.
Outlook and Complications
However, an eruption cyst can become infected. This could cause pain and further swelling, as well as bad breath.
It’s important not to poke or prod at an eruption cyst. Trying to burst the cyst with germy fingers or dirty objects could lead to an infection.
Can You Prevent Eruption Cysts?
While there’s not much you can do to prevent eruption cysts, good oral hygiene may help to prevent an eruption cyst from becoming infected. Encourage your child to brush, floss, and rinse regularly and properly.
A healthy diet with sufficient levels of vitamin K2 may also support the growth and strength of your child’s teeth and jaw.
Summary
Eruption cysts are formed by fluid accumulating around an erupting tooth. They usually aren’t a cause for concern and burst on their own when the tooth emerges.
If an eruption cyst doesn’t go away on its own, a dentist can easily and safely drain it. Avoid poking at an eruption cyst, as this could cause an infection.
Talk to your pediatric dentist if you notice a small bluish swelling on your child’s gums. Be sure to let them know if your child is experiencing any pain.
Sources
- Dhawan, Preeti, et al. “Eruption Cysts: A Series of Two Cases.” Dental Research Journal, 2012.
- Şen-Tunç, E., et al. “Eruption cysts: A series of 66 cases with clinical features.” Medicina Oral, Patología Oral y Cirugía Bucal, 2017.
- “Eruption Cysts in Teething Babies.” Riverside Dental Group.
- Nahajowski, Marek, et al. "Factors influencing an eruption of teeth associated with a dentigerous cyst: a systematic review and meta-analysis." BMC Oral Health, 2021.
- Tkaczuk, Andrew T., et al. "Cystic Lesions of the Jaw in Children: A 15-Year Experience." JAMA Otolaryngology–Head & Neck Surgery, 2015.
- Oliveira, A.J., et al. "Eruption Cyst in the Neonate." International Journal of Clinical Pediatric Dentistry, 2017.
- Kozioł-Kozakowska, Agnieszka, and Katarzyna Maresz. “The Impact of Vitamin K2 (Menaquionones) in Children's Health and Diseases: A Review of the Literature.” Children (Basel, Switzerland), 2022.
Experienced general dentist and adjunct professor. Advocates for preventive dentistry and dental education.
Related Articles

What Is Phossy Jaw
Key Takeaways Phosphorus necrosis, or phossy jaw, was an occupational disease suffered by workers in match factories bet...

Is It Harmful to Bite Your Lip?
Lip biting is a common occurrence. As an occasional accident, it's usually nothing to worry about. But if you find yours...

Posterior Tongue Tie - Symptoms, Risks & Treatments
What is a Posterior Tongue Tie? A tongue tie (ankyloglossia) is when the connective tissue attaching the tongue to the m...

What is a Sinus Lift (Augmentation)?
What is a Sinus Lift (Augmentation)? A sinus lift (also known as a sinus augmentation or sinus floor elevation) is a sur...