Dental Fluorosis: Causes, Symptoms & Treatment
Reader-supported. We may earn a commission from links on this page. Advertising disclosure.
In this article
What is Dental Fluorosis?
Dental fluorosis is a cosmetic condition that causes changes to the tooth’s surface. It can occur in children who consume too much fluoride during the first 8 years of life when permanent teeth are developing.
Dental fluorosis is a cosmetic concern, not an oral health issue. Most cases of dental fluorosis in the U.S. are mild, causing barely noticeable white spots on the tooth enamel that don’t affect dental function.
Moderate and severe forms of dental fluorosis are far less common. In these cases, there may be more significant changes to the tooth surface.
Severe dental fluorosis cases rarely occur in communities where fluoride levels in the local water are less than two milligrams per liter.
Symptoms of Dental Fluorosis
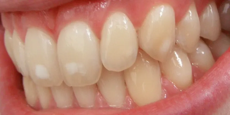
Discoloration of the tooth surface is the only symptom of dental fluorosis. Unaffected teeth are typically pale white with a smooth, glossy sheen.
There are different categories of fluorosis based on the severity of discoloration:
- Questionable — Slight changes to the tooth enamel, including a few white spots or flecks that are barely noticeable.
- Very mild — Small opaque white areas that cover less than 25% of the tooth surface.
- Mild — More opaque areas of enamel, but still less than 50% of the tooth surface.
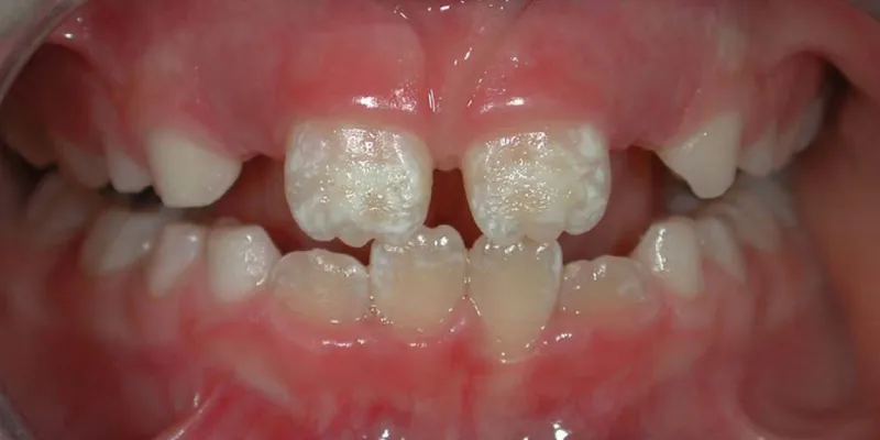
- Moderate — Opaque enamel covers more than 50% of the tooth surface.
- Severe — White or brown stains covering all surfaces. Tooth enamel may also have pitting (tiny depressions).
Most times, mild changes aren’t noticeable to anyone besides your child’s dental professional.




What Does Dental Fluorosis Look Like?
High fluoride levels can cause teeth to be discolored when they grow in. Teeth that have already erupted cannot get fluorosis.
A child’s teeth with mild fluorosis may have:
- Scattered white flecks
- Occasional white spots
- Frosty edges
- Fine, chalk-like white lines
The severe form of dental fluorosis is rare. A child with moderate or severe fluorosis may have:
- Rough, pitted tooth surface
- Brown spots and stains
What Causes Dental Fluorosis?
Dental fluorosis is caused by excessive fluoride consumption over a long period while teeth form beneath the gums. It only affects children younger than 8 years old.
Children older than eight years of age, adolescents, and adults cannot get dental fluorosis.
The severity of fluorosis depends on:
- The dose of fluoride (how much)
- How long it’s consumed
- The timing of fluoride intake
Fluorosis may occur when children consume the following:
- Fluoridated water — A water supply with fluoride levels above 1.5 milligrams per liter (mg/L) increases the risk of fluorosis.
- Dental products containing fluoride — Fluoride toothpaste and mouth rinses can increase a child’s exposure to fluoride, especially if swallowed.
- Fluoride supplements — These include tablets and fortified juices and drinks.
How to Prevent Dental Fluorosis in Children
The best way to reduce your child’s risk for fluorosis is to pay attention to their levels of fluoride exposure. Your child needs the proper amount of fluoride while their teeth develop, but too much can cause fluorosis. There are several steps you can take:
Learn About Fluoride in Drinking Water
If you have young children, it’s essential to know the fluoride concentration in your primary drinking water source. Depending on where your water comes from, there are various ways to do that:
- People who use a public water system can speak with the water utility company to request a copy of its most recent Consumer Confidence Report.
- People who use a private well or bottled water can submit a sample for laboratory testing at least once a year.
Supervise Your Child’s Dental Care Routine
Make sure they spit out the toothpaste instead of swallowing it. Use only a pea-sized amount of fluoride toothpaste for children ages 3 to 6. For children under 3, the amount of fluoridated toothpaste should be no larger than a grain of rice.
If your child uses fluoride supplements or other products, keep them out of reach. Ingesting a large dose of fluoride in a short time can cause fluoride toxicity.
Symptoms of fluoride toxicity include:
- Nausea and vomiting
- Diarrhea
- Abdominal pain
This condition usually isn’t serious, but it sends hundreds of children to emergency rooms every year.
Visit Your Dentist
If your child shows signs of fluorosis, your dentist can diagnose it during a dental exam. Routine exams every six months can help ensure your child has healthy teeth.
Talk to your dentist about fluoride levels in your drinking water and other beverages. This information helps determine whether your child needs fluoride supplements.
Treatment for Dental Fluorosis
Fluorosis doesn’t go away with regular brushing and flossing. If you’re concerned about fluorosis, several cosmetic dental treatments are available:
Enamel Microabrasion
Enamel microabrasion treats white spots on teeth with dental fluorosis. A dentist removes a small amount of enamel from the teeth during this treatment. This procedure may reduce the appearance of white spots.
This treatment is often followed by teeth whitening to blend the color variations of the tooth.
Teeth Whitening
Teeth bleaching or whitening reduces the look of white spots and other stains on teeth affected by dental fluorosis.
There are over-the-counter (OTC) options that you can buy, including whitening strips and special toothpaste. You can also purchase these products online.
Dentists can also perform professional teeth whitening treatments for better results. These treatments often use more potent bleaching formulas than those available OTC.
Dental Veneers
Veneers are thin, custom-made shells. They adhere to the front of your teeth after removing a layer of enamel.
Dental veneers are available in porcelain or composite resin and custom-made to match your natural teeth in shape and color. This makes them a great option for stains that don’t respond to whitening.
Dental Crowns
Like veneers, crowns are custom-made and colored. But whereas veneers cover the front surfaces of your teeth, a crown fits over the entire tooth. Your dentist has to remove some of the enamel to allow the crown to fit properly.
Dental Bonding
Dental bonding uses tooth-colored composite resin material to cover stains. Then, your dentist smooths and shapes your teeth for a natural appearance.
Outlook
Fluorosis isn’t harmful to your oral health or overall health. It’s considered a cosmetic issue and doesn’t require treatment. Most cases of fluorosis are so mild they’re hardly noticeable.
However, if you’re concerned about how fluorosis stains affect your appearance, cosmetic dentistry treatments can help.
Summary
Dental fluorosis can occur when children consume excessive fluoride over a period of time while their teeth are developing under the gumline. The most common form of fluorosis is mild and looks like opaque white spots on the tooth enamel.
High fluoride levels in drinking water can increase your child’s risk for fluorosis. Children over age 8, teens, and adults cannot get fluorosis. It’s important to check or test the fluoride levels in your drinking water every year. Talk to your dentist about the fluoride content of your water so they can determine if a supplement is needed.
Dental Fluorosis: Causes, Symptoms & Treatment
NewMouth PodcastSources
- “About Dental Fluorosis.” Centers for Disease Control and Prevention, 2024.
- Burger, D. “Study: Dental fluorosis generally less noticeable over time.” American Dental Association, 2020.
- DenBesten, P, and Li, W. “Chronic fluoride toxicity: dental fluorosis.” Monographs in Oral Science, 2011.
- “Questions and Answers on Fluoride.” United States Environmental Protection Agency, 2011.
- Cherem, NSB, et al. “Interventions in Management of Dental Fluorosis, an Endemic Disease: A Systematic Review.” Journal of Family Medicine and Primary Care, 2019.
- Akuno, MH, et al. “Factors Influencing the Relationship Between Fluoride in Drinking Water and Dental Fluorosis: A Ten-year Systematic Review and Meta-analysis.” Journal of Water & Health, 2019.
- Neurath, C, et al. “Dental fluorosis Trends in US Oral Health Surveys: 1986 to 2012.” JDR Clinical & Translational Research, 2019.
Board-certified general dentist specializing in patient education and preventive dentistry.
Related Articles

Cobblestone Throat: Causes, Symptoms, and Treatment
Cobblestone throat causes raised, bumpy tissue on the back of the throat, usually from postnasal drip, infection, allerg...

NTI Night Guards
What is an NTI Night Guard? The Nociceptive Trigeminal Inhibition Tension Suppression System (NTI-tss) is a dental appli...

Jaw Popping - Symptoms, Causes & Treatments
Overview Jaw popping is a clicking sound from one or both temporomandibular joints (TMJs). TMJs are the sliding hinge jo...

5 Ways to Fix a Sharp Tooth
If you feel a sharp or jagged edge in your mouth after crunching into hard food or suffering an injury, you may have a b...